At Boulder Smiles, we believe that healthy, beautiful smiles are the cornerstone of confidence and well-being. As a trusted name in Boulder dental services since 1975, our commitment to exceptional care and compassion sets us apart. Today, we will go over the significance of tooth position in orthodontics and how it impacts not just your smile, but your overall oral health.

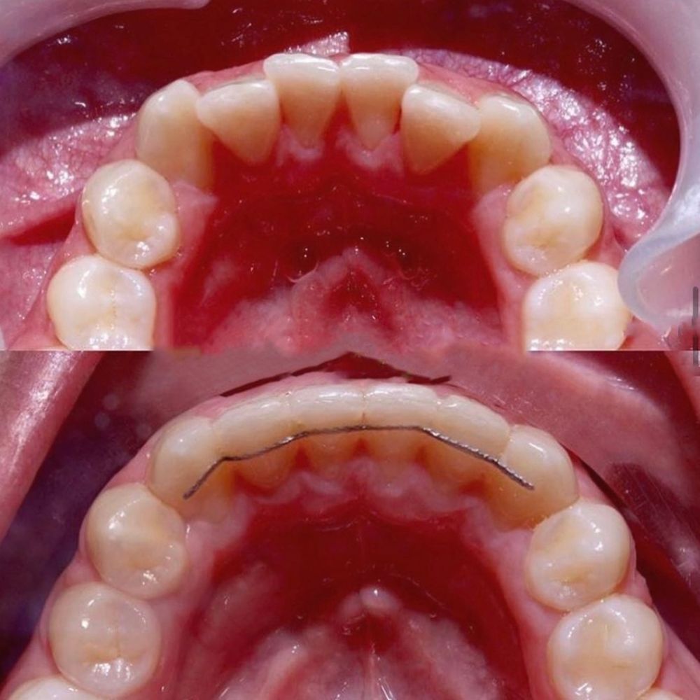
Proper tooth alignment is crucial for maintaining optimal oral health. Misaligned teeth can lead to issues like abnormal tooth wear, TMJ discomfort, and even affect speech and eating abilities. At Boulder Smiles, our experienced team emphasizes the importance of teeth straightening as a preventive measure against potential dental problems.

Beyond health concerns, orthodontic treatment plays a vital role in enhancing smile esthetics. By addressing tooth position problems, such as overcrowding or misalignment, individuals can achieve a more beautiful and confident smile. Our cosmetic dental clinic offers personalized treatment options to help you achieve the smile you've always dreamed of.

Diagnosing improper tooth positions involves a comprehensive evaluation that includes photos, x-rays, and impressions. Based on these diagnostic tools, our team creates a tailored treatment plan utilizing advanced techniques like braces or clear aligner trays such as Invisalign. These innovative solutions ensure effective and minimally invasive care for our patients.

We take pride in our legacy of crafting radiant smiles for multiple generations of Boulder residents. Our commitment to superior care and expertise shines through in every treatment we provide. With a focus on compassion and excellence, we are dedicated to helping our patients achieve healthy, beautiful smiles that last a lifetime.
Call 303.443.4417 or request an appointment online to set up your first visit. We’ll be in touch soon.