
As Boulder’s longest-standing dental practice, we’ve spent decades refining an experience rooted in trust, elevated by artistry, and delivered with precision.













Expertise begins with connection. We listen to your expressed needs, anticipate the unspoken ones, and help guide you in making treatment decisions thoughtfully tailored to you.

Dr. Alexandria Russ is a leading general and cosmetic dentist in Boulder, Colorado.

Dr. Caleb Moore is dedicated to crafting smiles that are both beautifully aesthetic and functionally sound.

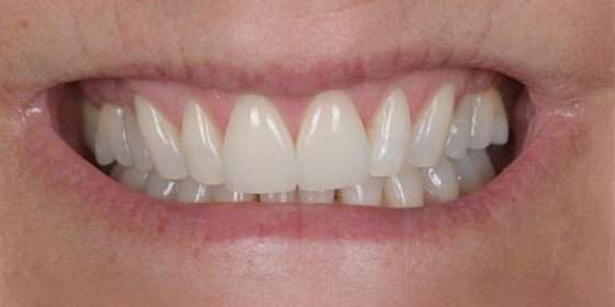
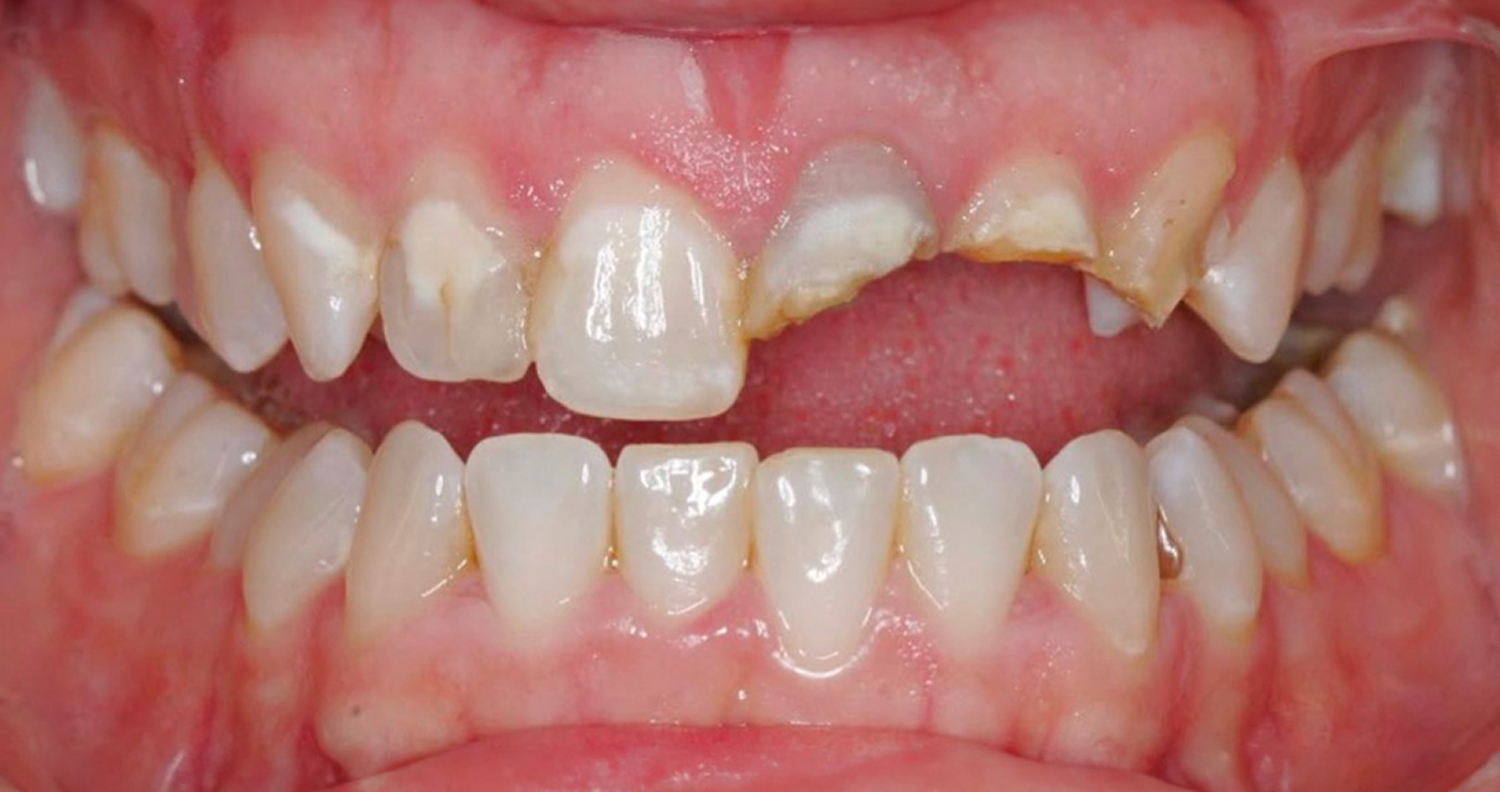
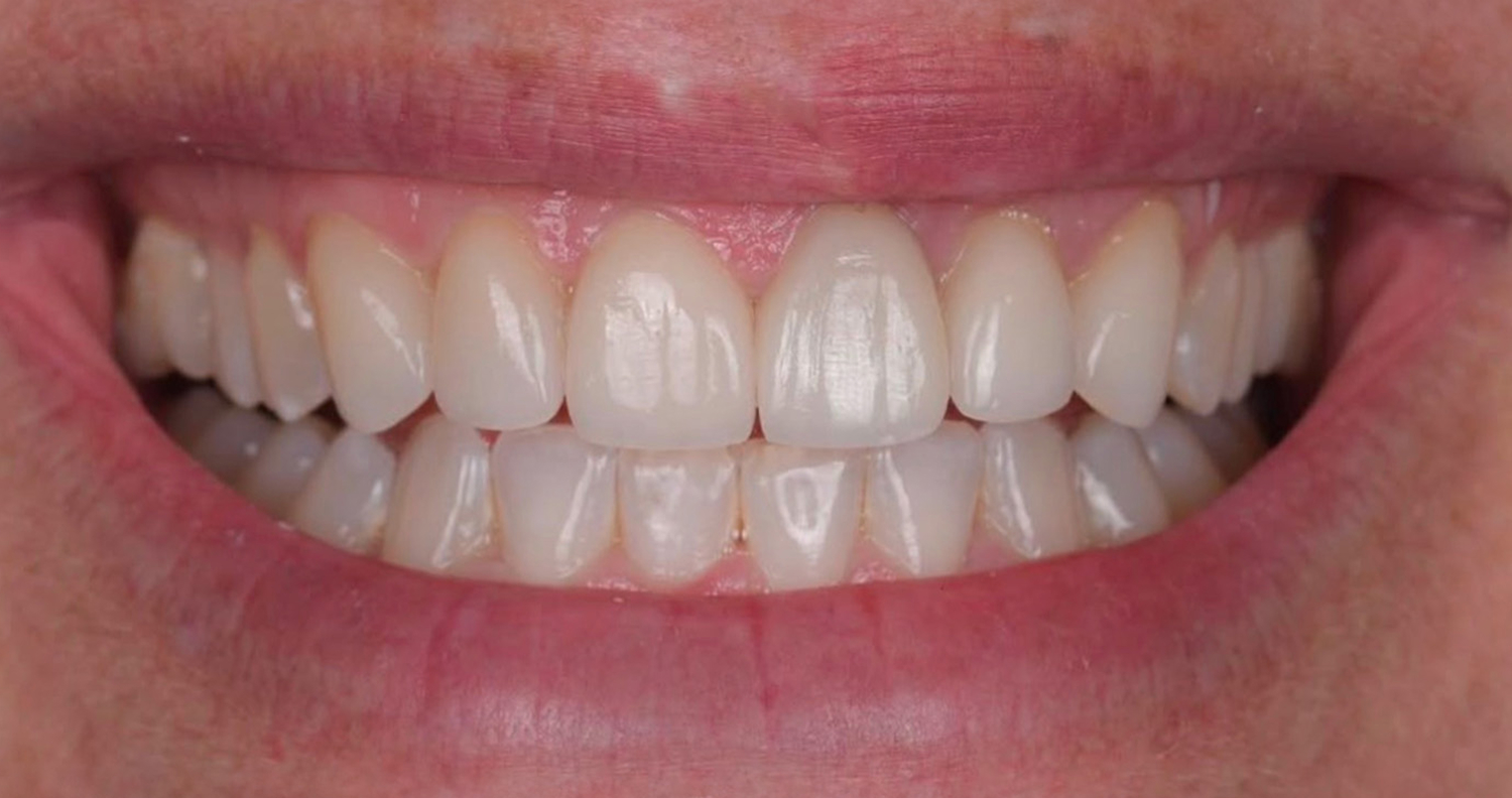
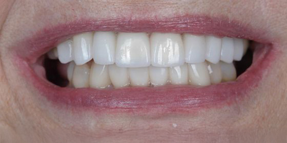
Every smile we design is approached as both a science and an art, where precision meets artistry to create beauty that endures.


We believe true beauty starts with health- and in dentistry, the two are inseparable. By focusing on longevity, balance, and minimally invasive care, we help your smile flourish naturally.


We value our community and are proud to partner with local nonprofits to donate our time and money to help organizations, schools, and families in need. If you know of an organization who can use our support, please share with us.
Call 303.443.4417 or request an appointment online to set up your first visit. We’ll be in touch soon.