Short teeth can impact your confidence and also cause problems with eating and speaking. This issue can be caused by genetics or can develop due to wear and tear. Identifying the cause of your short teeth is important so that this root concern can be addressed. At Boulder Smiles — the premier dental clinic in Boulder, Colorado — we can help you identify the reason for your short teeth and then use state-of-the-art dental treatments to restore the appearance and function of your smile. Contact us to schedule an appointment today!

Some individuals have teeth that are not only short but are also smaller in general and may look more like baby teeth than adult teeth. This is known as microdontia and is usually caused by a genetic condition. There are three different types of microdontia.
In many cases, short teeth develop over time. This can happen for a number of different reasons, including:

Erosive wear can occur if teeth are regularly exposed to acidic substances. This can be intrinsic or extrinsic. Intrinsic erosive tooth wear occurs due to exposure to gastric acids over time. One possible cause is gastroesophageal reflux disorder (GERD), which is a condition where stomach acid comes up into the esophagus. At night, gastric acid can reach the back of the mouth for individuals with GERD, damaging the back teeth. Intrinsic erosive wear can also occur from excessive vomiting due to alcoholism, bulimia, or pregnancy.
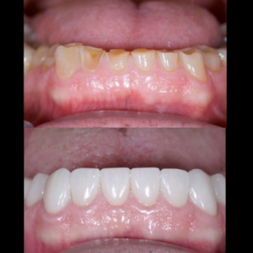
Extrinsic wear occurs due to external factors such as drinking soda frequently. In the photo above, you can see that there is yellow showing through the teeth. This is exposed dentin (the inner layer of the tooth). Dentin wears faster than enamel and can be more sensitive, so it’s important to seek dental treatment if you notice this occurring.

Abrasive wear occurs due to physical pressure on your teeth. One common cause is bruxism, which is when you unconsciously grind or clench your teeth. Bruxism often occurs at night and can occur along with other sleep disorders, such as sleep apnea. If your teeth are misaligned, uneven bite forces when chewing can accelerate the wear of specific teeth, causing them to be shorter than the teeth around them.
It is important to address the cause of your small teeth in addition to cosmetically enhancing your smile. If you have genetic microdontia, it could be related to a health condition that runs in your family. In this scenario, you will likely need to seek treatment with a physician in addition to working with your dentist to improve your oral health. If your short teeth are due to wear and tear, addressing this issue can help prevent further damage to any restorations and can preserve your new smile for longer. Treatments may include orthodontics for a misaligned bite, wearing a night guard for bruxism, or changes to your diet.

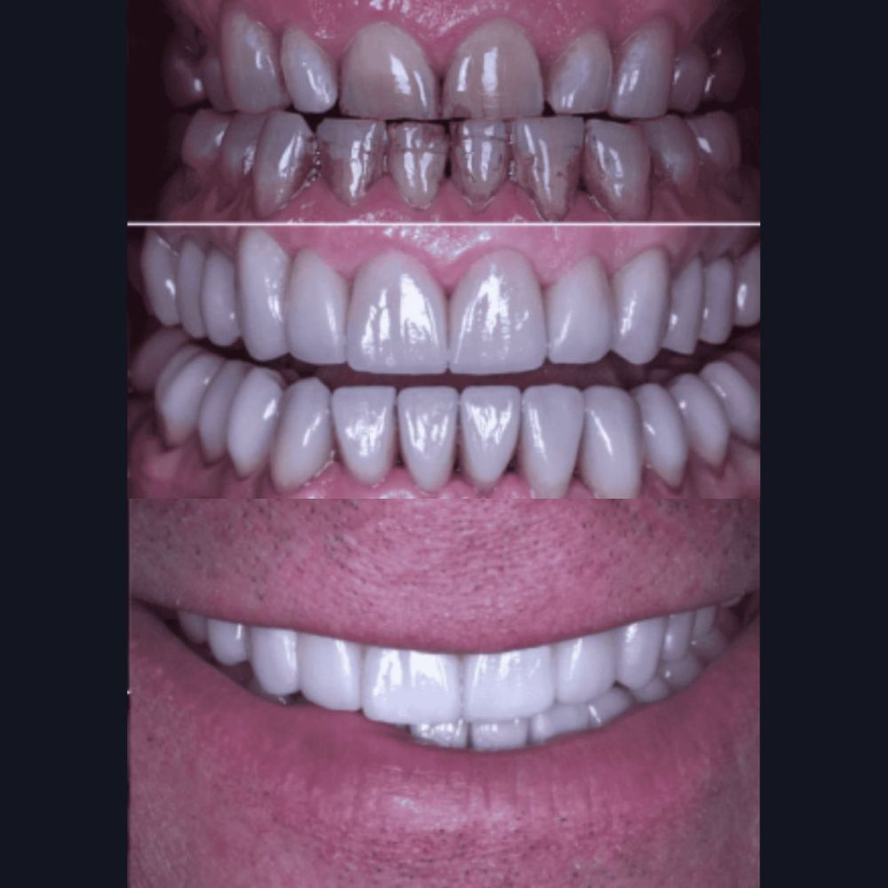
Porcelain veneers are an excellent choice for a long-lasting and natural-looking restoration. These are thin ceramic shells that cover the front of your teeth, adding length and creating a natural shape. At Boulder Smiles, we can show you what your new smile will look like before you start the process of getting veneers.

Dental bonding is an option that can add length and improve the way your teeth look. Composite veneers conserve more tooth structure and take less time to create than porcelain, but they are less durable. We can discuss your specific case to help you determine which material is a better fit for your needs.
If you have only one small tooth, a dental crown could be a good option. This is a ceramic cap that covers your natural tooth. This protects the tooth in addition to improving its appearance.
Call 303.443.4417 or request an appointment online to set up your first visit. We’ll be in touch soon.